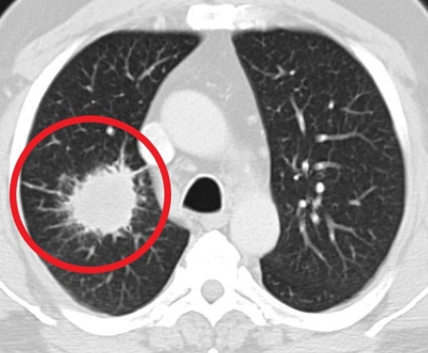
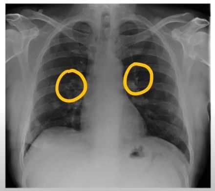
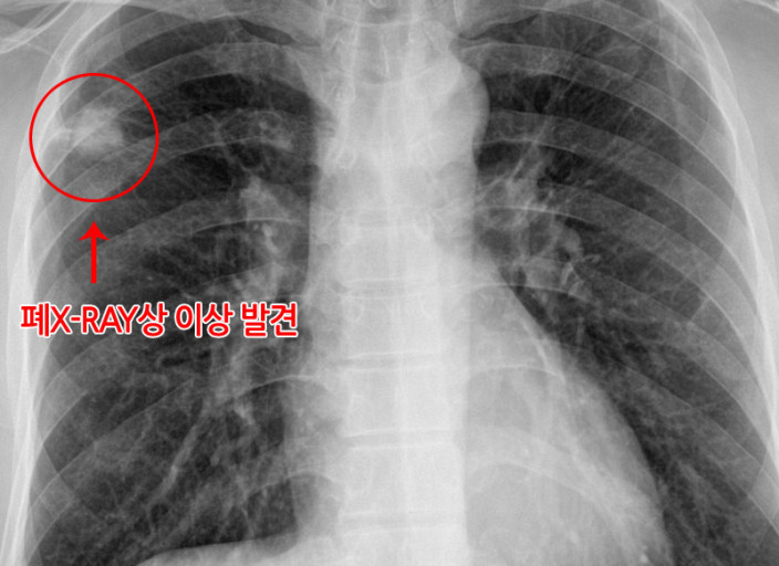
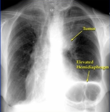
폐암은 위암, 갑상선암 다음으로 3번째로 발병 빈도가 높은 3대 암 중 한 가지입니다. 폐암은 재발과 전이까지의 빈도도 잦은지라 완치가 어렵다고 하며 폐암 발병 초기에는 거의 증상이 없을 수가 있어 수술이 불가능한 3기, 혹은 4기에 주로 진단된다고 합니다.






폐암 4기에 이르게 되면 5년 생존률이 30% 대로 떨어지게 된다고 합니다. 그리해서 폐암은 암 질병이자 중 사망자 비율이 가장 높은 것으로 나타나고 있습니다.
폐암은 사망률 2위를 차지하고 있는 간암에 비해 무려 2배에 가까운 사망률을 보이고 있다고 해요. 이렇게 치명적인 폐암에 대해 미리 알고 대처하는 것이 바람직할 것 같습니다. 아래에서는 폐암이라 판단해 볼 수 있는 그 초기증상에 대해 간단히 설명드리겠습니다.
폐암 초기증상 1. 호흡곤란
폐암 초기 증상으로 호흡곤란 증상이 있습니다. 폐에 문제가 생기니 당연히 숨이 찰 수밖에 없습니다. 평소 조금만 걸어도 숨이 매우 차거나 심하게 가빠지는 등의 호흡에 문제가 생기게 됩니다. 폐에 암세포가 커지기 시작하다 보면 폐허탈, 흉막삼출 등의 질환으로 인해 극심한 호흡곤란을 느끼기도 합니다.






폐암 초기증상 2. 목소리의 변화
폐와 기관지 사이의 공간을 통해 소리를 전달하는 성대가 있습니다. 이 성대를 제어하는 성대 신경은 암이 림프절에 침범하게 되면 마비가 됩니다. 그리해서 목소리에 변동이 오거나 쉬는 증상이 나타나요.
폐암 초기증상 3. 손끝이 뭉툭하고 통통해집니다.
폐암 증세 발현시 손가락 끝이 뭉특해지고 손톱 색이 푸르스름하게 투명해 보이게 되는 그럴 경우도 있다고 합니다. 이 증상이 나타난 분들의 80%가 폐암을 앓았다는 결과 있다고 합니다. 암세포 그리해서 호르몬 분비에 문제가 생긴 결과 체액이 손가락 끝에 몰릴 수 있다고 합니다.






폐암 초기증상 4. 기침
폐암 초기증상 다음은 기침입니다. 이것은 호흡곤란과 이어지는 증상인데요. 기침은 가장 흔하게 발생하는 폐암 초기증상입니다. 기침 사실 감기나 천식, 최근에는 코로나 증상 등의 다른 호흡기 질병에서도 흔히 발생하는 증상이라 처음에는 대수롭지 않게 여기고 넘어가는 그럴 경우가 많습니다. 하지만 계속하여 기침 증상이 끊이지 않는다면 폐암 체크를 받아보는 게 좋습니다.
폐암 초기증상 5. 체중감소
대부분의 암에서 그렇듯 체중감소도 폐암 초기증상 중 하나인데요. 암에 걸리면 입맛이 떨어지고 전신에 힘이 없어지게 됩니다. 그래서 체중이 갑작스레 감소할 수도 있습니다. 따라서 갑작스레 평소 체중의 5% 이상 체중이 감소된다면 검진을 해보는 게 좋아요. 정상세포보다 암세포는 성장 속도가 빨라서 많은 에너지를 필요로 하기 그리해서 암세포의 성장에 따라 체중감소가 확인될 수 있습니다.






폐암 초기증상 6. 두통, 구토
두통과 구토도 있습니다. 뇌는 암이 발생한 이후 전이가 가장 많이 되는 곳 중 하나라서 이로 인해 두통이 발생합니다. 또한, 폐에서 발병한 폐암으로 메스꺼움이 심해지고 이로 인해 식욕 부진, 체중 감소, 건조 및 혼수상태 등으로 이어질 수 있습니다.
폐암 초기증상 7. 혈담
혈담도 있습니다. 혈담이란 기침 후 피가 나오거나 가래에 피가 섞여 나오는 것입니다. 선홍색의 비교적 선명한 피가 나오면 폐암을 체크해 보아야 합니다. 이것은 암세포 그리해서 폐가 괴사하기 출혈이 발생하여 그런 것입니다. 실제로 폐암 환자의 25%가 혈담을 하였다는 것을 보여주는 통계가 있습니다.






폐암 초기증상 8. 만성피로
폐암 초기증상으로 만성피로가 있어요. 암이 발생하다 보면 신진대사 기능이 감소하게 됩니다. 따라서 쉽게 피로를 느끼고 계속 쉬어도 피로가 풀리지 않아 만성피로에 시달리게 됩니다.
폐암 초기증상 9. 흉부 고통
폐암에 걸리면 흉부에 고통이 느껴집니다. 폐의 가장자리에 생긴 폐암이 흉막과 흉벽을 침범하여 고통이 생기는 것으로 가슴이 답답하면서 꽉 막힌 느낌이 지속되며 날카롭게 찌르는 듯한 느낌과 압력 하는 느낌 등 여러 가지 고통이 나타나요.






폐암 초기증상 10. 상체 전반적인 고통
흉부 고통뿐만 아니라 폐에 암세포가 상체 쪽으로 전이될 그럴 경우 상체 여러 곳곳에서 고통을 느낄 수 있습니다.
폐암 초기증상 11. 부기
폐암 종양이 자라면서 상반신의 혈액을 모으는 상대정맥을 압박할 수 있습니다. 이것이 바로 '상대정맥 증후군'이라고 합니다. 상대정맥 증후군이란 상대정맥 주위에 종양이 생겨 압박이 생기는 증상입니다. 이것은 혈액의 순환 장애를 유발하며 머리와 팔이 붓거나 가슴 정맥 돌출, 호흡곤란 등의 증상으로 이어집니다. 또한 가슴 부위 피부가 푸르스름한 색을 띠게 됩니다.